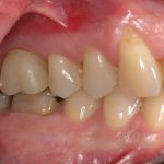
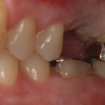
PRÓTESE UNITÁRIA SOBRE-IMPLANTE AUSÊNCIA DE UM DENTE NA ARCADA: COROA DE PORCELANA SOBRE-IMPLANTE.
FOTO 1: CASO INICIAL
FOTO 2: VISTA FRONTAL
FOTO 3: IMPLANTE INSTALADO
FOTO 4: ÁREA CICATRIZADA
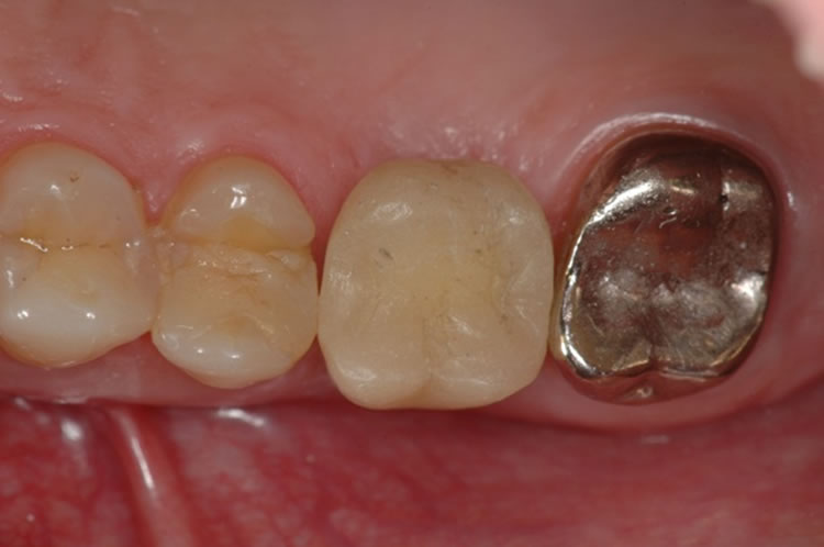
FOTO 5: COROA PORCELANA
FOTO 6: FINAL
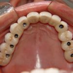
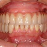
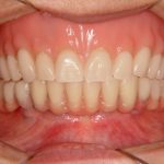
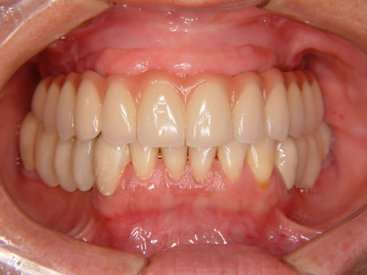
PRÓTESE FIXA DE PORCELANA SOBRE-IMPLANTE
AUSÊNCIA DE TODOS OS DENTES DA ARCADA SUPERIOR
FOTO 1: CASO INICIAL
FOTO 2: IMPLANTE INSTALADOS
FOTO 3: PONTE FIXA DE
PORCELANA APARAFUSADA
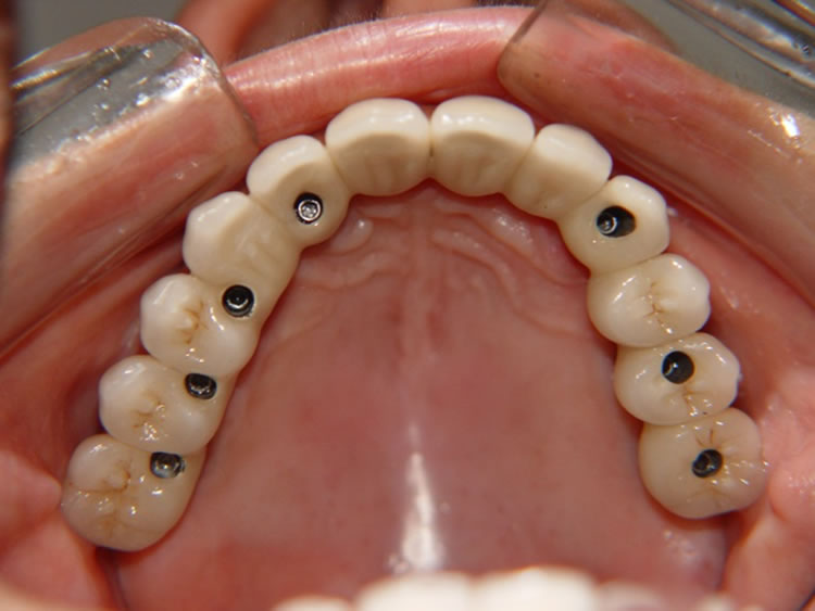
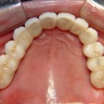
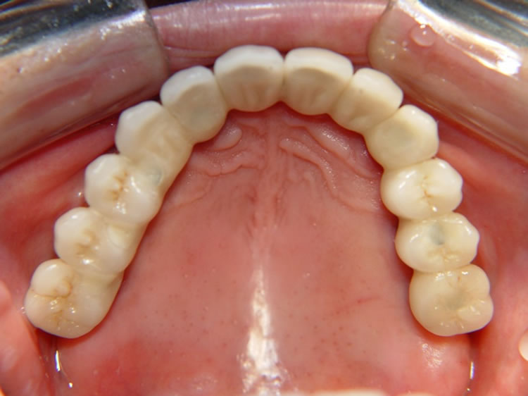
FOTO 4: VISTA OCLUSAL
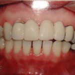
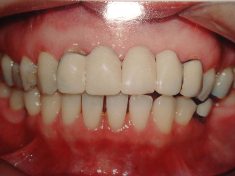
FOTO 5: VISTA FRONTAL
FOTO 6: CASO FINAL
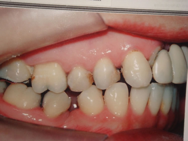
PRÓTESE FIXA SOBRE-DENTE
AUSÊNCIA DOS DENTES ANTERIORES SUPERIORES – FOI FEITO DESGASTE DOS DENTES ADJACENTES,
QUE SERVIRAM DE PILARES PARA A PONTE FIXA DE PORCELANA CIMENTADA
FOTO 1: VISTA FRONTAL
CASO INICIAL
FOTO 2: VISTA OCLUSAL
CASO INICIAL
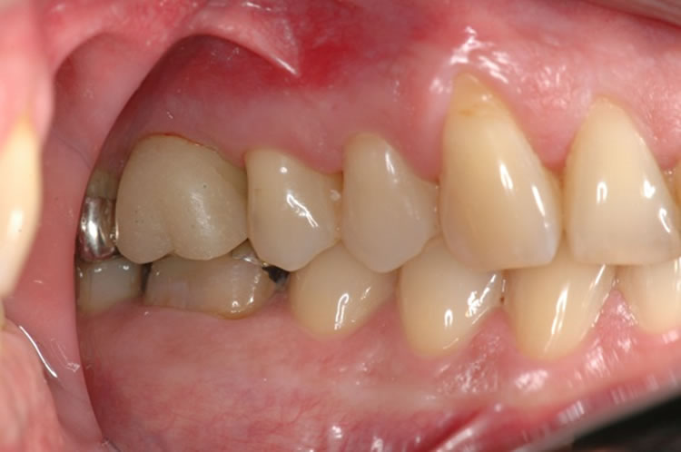
FOTO 3: VISTA LATERAL
CASO INICIAL
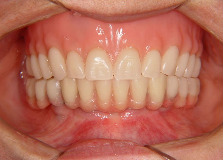
FOTO 4: VISTA FRONTAL
CASO FINAL
FOTO 5: VISTA OCLUSAL
CASO FINAL
FOTO 6: VISTA LATERAL
CASO FINAL
PRÓTESE TOTAL SOBRE-IMPLANTE (TIPO PROTOCOLO)
AUSÊNCIA DE TODOS OS DENTES INFERIORES COM PERDA ÓSSEA AVANÇADA – NESTE CASO É INDISPENSÁVEL MANTER A RESINA ROSA DA PRÓTESE, PARA RECUPERAR A ALTURA DE OSSO E GENGIVA QUE FOI PERDIDA.
FOTO 1: IMPLANTES INSTALADOS
NA ARCADA INFERIOR
FOTO 2: PRÓTESE TOTAL DE RESINA
APARAFUSADA
NAARCADA INFERIOR
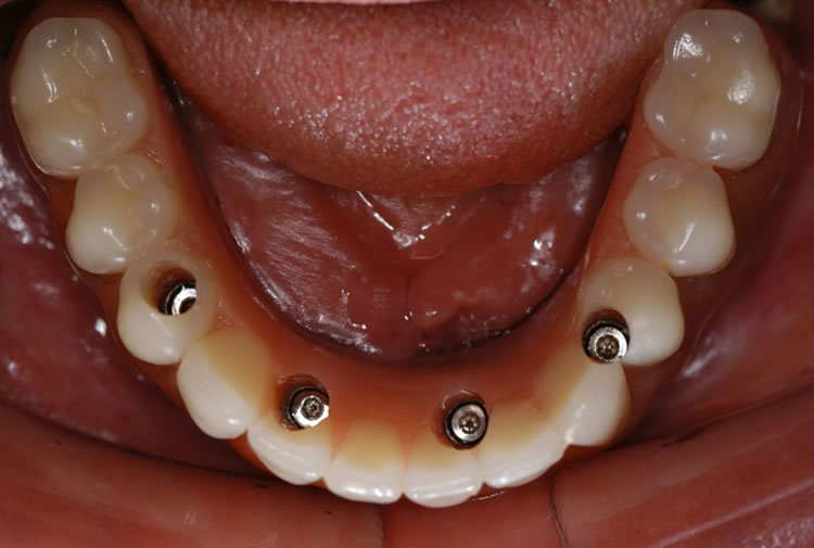
FOTO 3: ACESSO AOS PARAFUSOS
FECHADOS COM RESINA
FOTO 4: VISTA FRONTAL
ARCADA
INFERIOR – CASO FINAL